Fale Comigo
Whatsapp
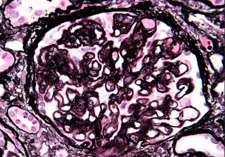
glomerulopatias
nefro dicas
videoaulas
dialise
drc
doenca renal do diabetes
ira
nefrolitiase
disturbios hidroeletroliticos
nefrite lupica