Fale Comigo
Whatsapp

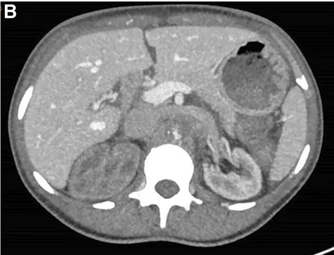
Paciente con dolor lumbar evolucionando con IRA y anuria.

Valkercyo Feitosa

2023-08-02

Publicaciones recomendadas de Nefroupdates